いけやま歯科クリニック(池山歯科)は、福岡市城南区鳥飼で矯正、インプラントや審美歯科・白い歯の治療を行っています。
Ikeyama Dental Clinic いけやま歯科クリニック
HOME
 
診療案内
医院案内
院長紹介
院内紹介
交通アクセス
診療案内
一般歯科
歯周病
口腔外科
予防歯科
小児歯科
ホワイトニング
インプラント
審美歯科(歯並び、歯の色)
矯正歯科
マウスガード
ご予約される方へ
お問い合わせ

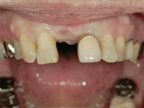
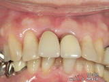
インプラント

インプラントとは、歯が(根っこから)無くなった部分に人工の歯根としてチタンを顎の骨に埋め込んで歯を作る物です。術前に十分な検査が必要ですが、入れ歯とは比べ物にならない噛む力の回復があり、異物感もありません。

また、見た目も白い歯で作ることも可能で、きれいな歯並びも再現できます。

費用
・インプラント手術代・・・・・・・・・・・・・・・・¥16,5000〜
・インプラントスクリュー(1本)・・・・・・・・・¥99,000〜

上部構造
銀歯・・・・・・・・¥99,000   
メタルセラミック・・・・・・・・¥132,000
オールセラミック・・・・・・・¥165,000

※カウンセリングは無料です。

奥歯の例


前歯の例
    ページの先頭へ    
 リンク集プライバシーポリシー  
Copyrights © Ikeyama Dental Clinic All rights reserved.