 |
 |
|
 |
矯正歯科では歯の位置異常、噛み合わせの悪さを解消していきます。
治療は専門の歯科矯正医(日本矯正歯科学会認定医)が担当し、
矯正装置を用いて一定期間(1年〜数年)をかけ、歯を正しい位置に移動させます。
歯を正しい位置になおすと、見た目の美しさだけでなく、顔全体のシルエット、適切な咀嚼運動、発音などの身体的バランスが得られます。
また、虫歯や歯周病の発生率も抑えることができます。
当院では症状・希望・ご予算に応じて、なるべく患者さまに負担の少ない矯正治療を提供しています。
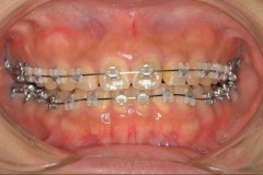
矯正方法例
クリアブラケット
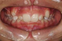
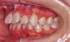
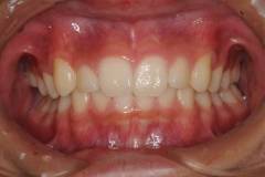
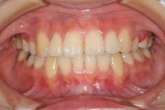
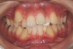
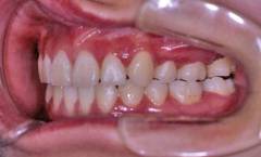
矯正治療症例
成人
小児
矯正費用(税別)
■初診・検査料
■矯正基本料金
| 小児(一次矯正) |
350,000円〜 |
| 成人(二次矯正) |
715,000円〜 |
| 部分矯正 |
55,000円〜 |
| 調整料(月1回) |
5,500円 |
*その他特殊装置・保定装置は別料金
|
|
 |
|
 |