いけやま歯科クリニック(池山歯科)は、福岡市城南区鳥飼でインプラントや審美歯科・白い歯の治療を行っています。
Ikeyama Dental Clinic いけやま歯科クリニック
HOME
 
診療案内
医院案内
院長紹介
院内紹介
交通アクセス
診療案内
一般歯科
歯周病
口腔外科
予防歯科
小児歯科
ホワイトニング
インプラント
審美歯科(歯並び、歯の色)
矯正歯科
マウスガード
ご予約される方へ
お問い合わせ

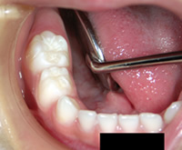
小児歯科

一般的な小児の虫歯の治療・根の治療・予防(シーラント)・フッ素塗布を行います。

フッ素塗布
虫歯予防のため、医療機関用の高濃度フッ素を塗ります。歯の質を強化し酸に溶けにくくします。

※家庭用フッ素製品(歯磨き粉等)との併用で、予防効果はさらに上がります。

シーラント
永久歯は生えてから数年間はまだ未成熟であり、表面の溝が深く汚れがたまりやすい状態です。シーラント処置により溝を埋めて、汚れをつきにくくし虫歯から歯を守ります。

    ページの先頭へ    
 リンク集プライバシーポリシー  
Copyrights © Ikeyama Dental Clinic All rights reserved.