 |
 |
|
 |
オールセラミック(132,000円〜)
現在はオールセラミックという全てがセラミックでできたものが主流で金属を使いません。金属が使われていないことで光をよく通し、歯に自然な透明感がでてきます。これによりご自身の歯と変わらない色の再現が可能となりました。
以前作られた歯で、隣の歯の色と違う・・・、色が浮いていて気になる、もっと白くしたいなどの悩みがありましたら気軽にご相談ください。
また、出っ歯・八重歯・受け口・乱食い歯などもセラミックで短期間に直す事が可能です。
こちらも気軽にご相談ください。
メタルセラミック(88,000円〜)
セラミックの歯ですが、内部と裏側は金属でできています。
色・透明感は、オールセラミックに劣りますが、変色しないきれいな歯が作れます。
セラミックインレー(55,000円〜)
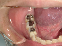
笑った時に見える銀色の歯を、白く健康で美しい歯へ変えてみませんか?
笑った時は口が大きく開き、特に下の銀歯が目立って見えます(写真)。
また上の小臼歯(真ん中の歯)の銀歯も目立ちます。
 |
|
 |
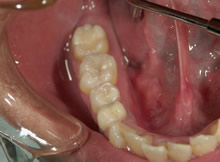
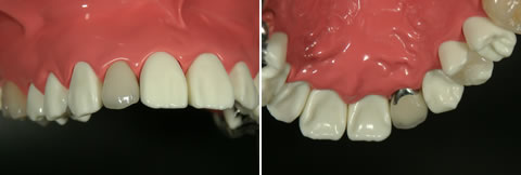
| 銀歯 |
|
白い歯 |
|
ラミネートベニア(77,000円〜)
歯の表面だけを削って、薄いセラミックを貼り付ける治療です。
歯の色を白くしたいけど、歯をあまり削りたくない方や、前歯のすきっ歯を治したい方に最適です。
|
|
 |
|
 |